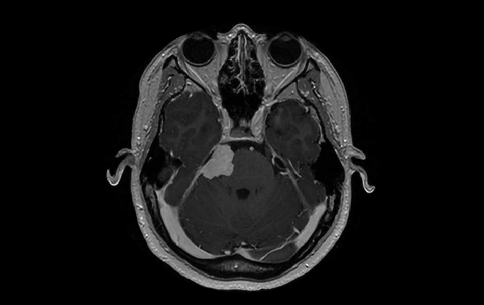
Several recent studies point to an increased risk that women have of developing a meningioma when using injectable birth control. But only a total of about 50,000 people in the U.S. are diagnosed with this type of brain tumor each year.
“While this is certainly the most common brain tumor, brain tumors aren’t all that common to begin with,” said David Raleigh, MD, PhD, a UC San Francisco physician-scientist, director of the UCSF Translational Meningioma Program, and principal investigator at the UCSF Brain Tumor Center. “The absolute risk of developing a meningioma is still very low.” Read article here
